Dental Smile Gallery Amarillo

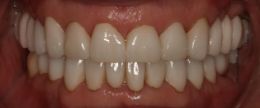
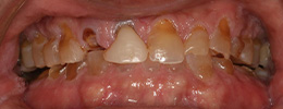
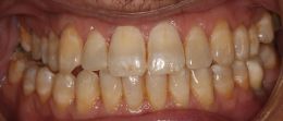
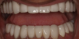
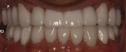
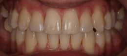
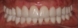
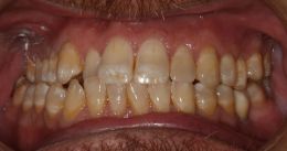
Dentistry Before and After Photos

Schedule a visit today!
Contact Us
Submit

Thank You!

We appreciate you taking the time to visit our site. We'll review your message and be in touch with you soon.

Continue
Dentist in Amarillo